Lung Cancer Screening

Early detection can save lives, especially for current and former smokers.

If you are a current or former smoker, you’re at risk for lung cancer. If doctors find the disease early, when the tumor is located only in the lungs, up to 75 percent of people survive five years or more. Many of these patients are cured. 

National Lung Cancer Screening Day

In recognition of this day, Henry Ford is expanding access to those who are unable to schedule during the week. Take advantage of this convenient Saturday clinic.

Participating locations include: Detroit, Grand Blanc, Chesterfield, Jackson, New Baltimore, Novi, Southfield, Warren, West Bloomfield and Wyandotte.

The gold standard for identifying lung cancer early uses computed tomography (CT) scans. Henry Ford Health was part of a national study that found CT lung screening reduced the chance of dying from lung cancer by 20 percent, compared with chest X-ray screening.

Should I have a CT scan to check for lung cancer?

We work with you and your doctor to see if early-detection screening makes sense for you. Not all current or former smokers need a CT scan to screen for lung cancer. We recommend CT scans for people who:

  • Are 50 – 77 years old
  • Have no signs or symptoms
  • Have smoked at least a pack a day for 20 years or more (20 pack-years), or the equivalent (for example, you may have smoked two packs a day for 10 years)
  • Are a current smoker or one who has quit smoking within the last 15 years
  • Have not had a chest CT scan within the last 12 months

Henry Ford’s Lung Cancer Screening Clinic

Henry Ford's specialized Lung Cancer Screening Clinic screens people to identify potential lung cancer as early as possible.

The clinic brings patients together with pulmonologists, nurse practitioners, nurses and smoking cessation counselors. We work together with radiologists, oncologists, surgeons and other cancer specialists to help you manage your health condition and achieve your health goals.

Screen Lungs, Save Lives
Shannon Naumann, a nurse practitioner for the Lung Cancer Screening Clinic, provides an overview of the program and why early detection is so important.
Play
Who Should Be Screened?

Not everyone needs to be screened for lung cancer. Find out if you're at risk and need to schedule a screening.

Request a Lung Cancer Screening

Meet the criteria?
Contact our team, and we’ll schedule an appointment for you.

lung cancer screening

What is involved with having a low-dose CT scan for lung cancer?

We offer a comprehensive screening process, centered on your needs. Generally, it involves:

  • CT scan:

    The CT scan is quick and painless. It uses a combination of X-rays and computer technology to create detailed images. You don’t have to worry about receiving too much radiation during screening. Our low-dose CT scan technology means you’ll experience about a quarter of the radiation emitted by standard CT scans.

  • Scheduling:
    Most often, we will contact you to schedule a screening if you are eligible. You or your doctor also can call us to schedule a screening. Most insurance companies do not charge copay or deductible for the lung cancer screening. This screening is covered by Medicare and most private insurance plans at no cost or copay. Before scheduling, it is best to contact your insurance provider to determine if this screening is covered.

    Informed decision-making meeting: The day of your screening, our dedicated nurse practitioners meet with a group of six to 10 patients at a time to explain the process and answer questions. Once we have answered all your questions, we’ll walk you to your screening.
  •  Results and follow-up:
    We will review your scan results and send the findings to your primary doctor. Your doctor will discuss your results with you. We’ll also share any other concerns we identify, such as potential heart or blood vessel problems.
  • Additional tests
    If the scan shows something suspicious, we may ask you to return for follow-up screening in a few months. If we spot an abnormality, our team can work with you to immediately schedule a positron emission tomography (PET) scan and other follow-up procedures.
  • Ongoing screening:
    Screening for lung cancer is a process, not a single test. Individuals who qualify should have a yearly CT scan as long as necessary. We usually recommend annual screening until people have gone 15 years without smoking tobacco.
Screening Provides Hope

As a former smoker and having witnessed her father suffer from lung cancer, Sherry took the advice of her primary care physician and scheduled a lung cancer screening.

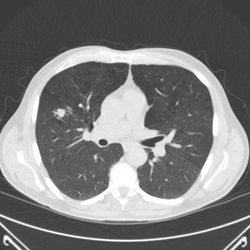
Lung cancer screening image

Lung cancer can be revealed by a low-dose computed tomography (LDCT) screening.

Get help to quit smoking

The No. 1 way to reduce your risk for lung cancer is not to smoke tobacco. If you already use tobacco, you can lower your lung cancer risk if you quit smoking.

Ready to quit? Our tobacco treatment services can start you on the journey to a tobacco-free life.

Are you eligible for lung cancer screening?

If you have questions about eligibility or want to learn more, call us at (313) 916-1275 or contact our team.

Show Me

Does A Lobectomy Affect Your Breathing?

For some lung cancer patients, removing part of the lung is necessary to get rid of a tumor and improve chances of a cure. Here's what to know about this procedure.

Overcoming The Stigma Of Lung Cancer

Lung cancer patients don’t always get the same support and sympathy shown to other cancer patients — but they still face similar struggles. Here’s how you can help address the stigma surrounding the deadliest form of cancer.

View All Blog Posts
Eligible?

Contact our lung cancer screening team, call (877) 672-7336 .

X

Cookie Consent

We use cookies to improve your website experience. By using this site, you agree to our Terms of Use. Read our Internet Privacy Statement  to learn what information we collect and how we use it.

Accept All
Dismiss